欢迎光临!
登录
注册
首页
彭淑牖工作室
产品服务
线上咨询
三维重建
3D打印
计算流体力学
3D医学教育
个人中心
首页
彭淑牖工作室
产品服务
线上咨询
三维重建
3D打印
计算流体力学
3D医学教育
个人中心
登录
注册
首页
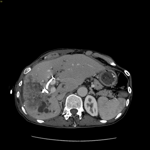
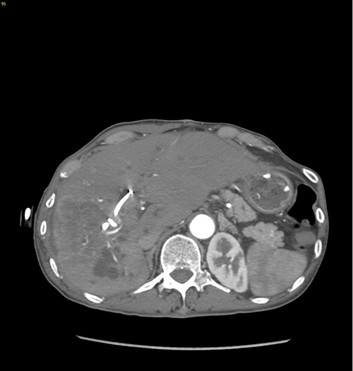
右肝胆管细胞癌、胆道梗阻---右三肝切除、左肝管空肠Roux-en-Y切除
右肝胆管细胞癌、胆道梗阻---右三肝切除、左肝管空肠Roux-en-Y切除