欢迎光临!
登录
注册
首页
彭淑牖工作室
产品服务
线上咨询
三维重建
3D打印
计算流体力学
3D医学教育
个人中心
首页
彭淑牖工作室
产品服务
线上咨询
三维重建
3D打印
计算流体力学
3D医学教育
个人中心
登录
注册
首页
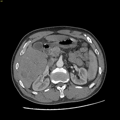
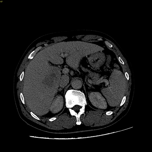
右肝癌、门静脉癌栓----右半肝切除,门静脉癌栓取出术
右肝癌、门静脉癌栓----右半肝切除,门静脉癌栓取出术
手术规划--右半肝切除,门静脉取癌栓