欢迎光临!
登录
注册
首页
彭淑牖工作室
产品服务
线上咨询
三维重建
3D打印
计算流体力学
3D医学教育
个人中心
首页
彭淑牖工作室
产品服务
线上咨询
三维重建
3D打印
计算流体力学
3D医学教育
个人中心
登录
注册
首页
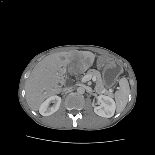
左肝癌并胆管癌栓---左半肝切除、胆管癌栓取出术
左肝癌并胆管癌栓---左半肝切除、胆管癌栓取出术