欢迎光临!
登录
注册
首页
彭淑牖工作室
产品服务
线上咨询
三维重建
3D打印
计算流体力学
3D医学教育
个人中心
首页
彭淑牖工作室
产品服务
线上咨询
三维重建
3D打印
计算流体力学
3D医学教育
个人中心
登录
注册
首页
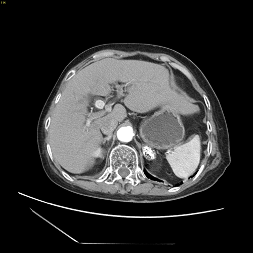
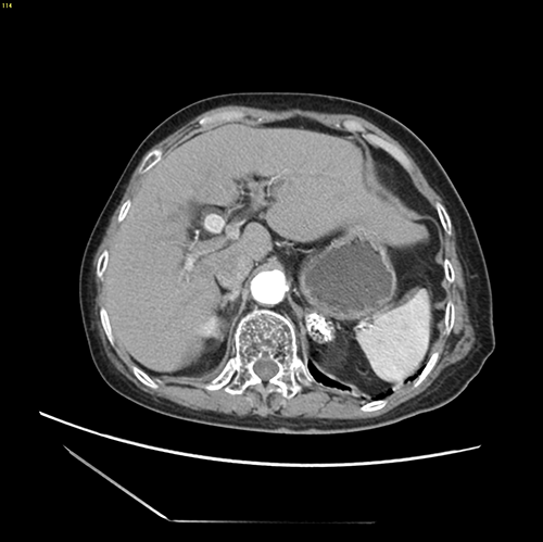
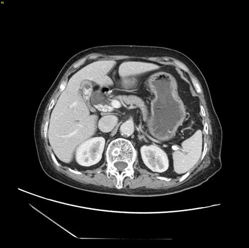
肝内外胆管结石-腹腔镜左半肝切除、 胆囊切除、胆总管切开取石、T管引流
肝内外胆管结石-腹腔镜左半肝切除、 胆囊切除、胆总管切开取石、T管引流