欢迎光临!
登录
注册
首页
彭淑牖工作室
产品服务
线上咨询
三维重建
3D打印
计算流体力学
3D医学教育
个人中心
首页
彭淑牖工作室
产品服务
线上咨询
三维重建
3D打印
计算流体力学
3D医学教育
个人中心
登录
注册
首页
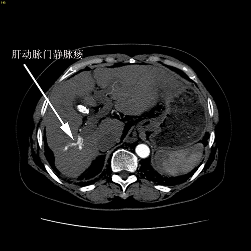
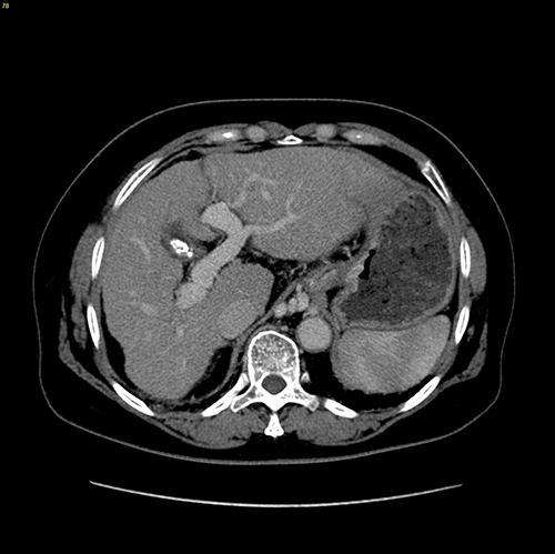
门脉高压、右肝动脉门静脉瘘、胆囊结石----脾切除、贲门周围血管离断、肝右动脉结扎、胆囊切除
门脉高压、右肝动脉门静脉瘘、胆囊结石----脾切除、贲门周围血管离断、肝右动脉结扎、胆囊切除